Consultorio 328 - Hospital de los Valles
¿Emergencia dental?
Lo atendemos HOY
Parqueadero y Guardianía
Atención de 08:00 a 19:30
Pagos en efectivo, tarjeta o transferencia
Pacientes 100% satisfechos

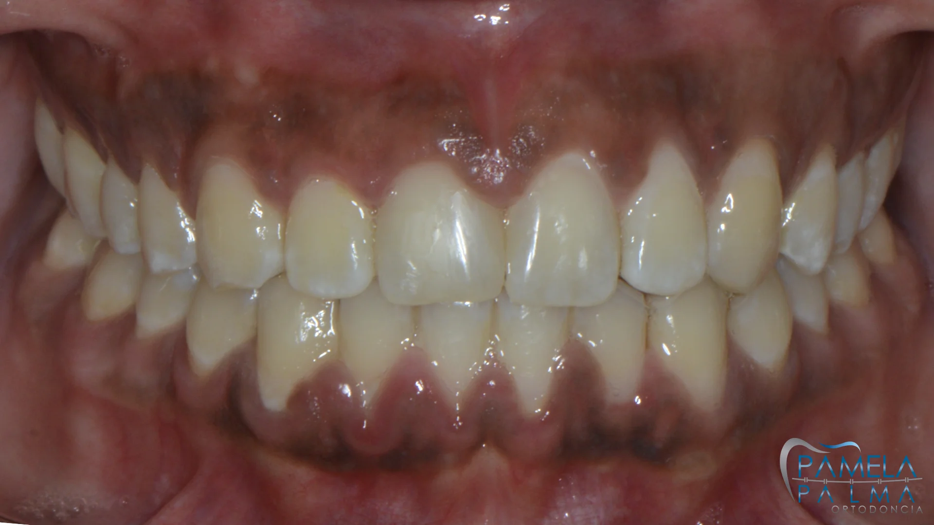
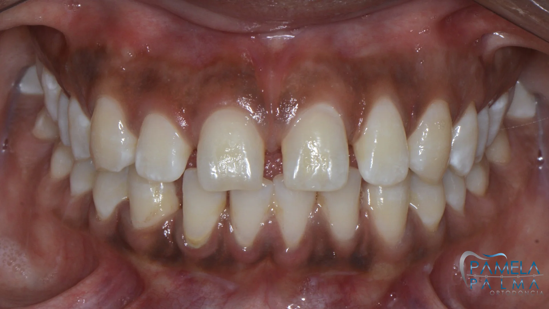
¿Cómo mejoran los brackets mi mordida?

A grandes rasgos, la ortodoncia convencional con brackets metálicos consta de 3 elementos: brackets, ligas y arco.

Las ligas (de goma) empujan el arco al interior del bracket.

A su vez, los brackets son adheridos al diente.

El arco ejerce una fuerza contra el bracket en el ángulo adecuado con el fin de cambiar de posición (enderezar) la pieza dental.

La corrección de la mordida ocurre cuando cada uno de los dientes ha sido ya movido a una posición óptima, y en conjunto, como en un rompecabezas, forman un todo armónico.

Bracket
Arcos
Ligas
Reservar cita para mañana, Martes

EN RESUMEN


Duración de ortodoncia
  • 6 a 18 meses
Requisitos
  • Radiografía panorámica
  • Radiografía lateral de cráneo
  • Limpieza dental
  • Cero caries
Problemas que soluciona
  • Mordida abierta
  • Mordida profunda
  • Sobresalte dental
  • Apiñamiento dental
  • Mordida invertida
  • Mandíbula desviada
  • Diastemas
Precio
  • Desde $40 al mes

¿Por qué elegir a Odontólogos del Valle?