Profilaxis Dental Completa: Dientes Limpios y Sanos Desde $40
Realizada Por Odontólogos Expertos en Prevención
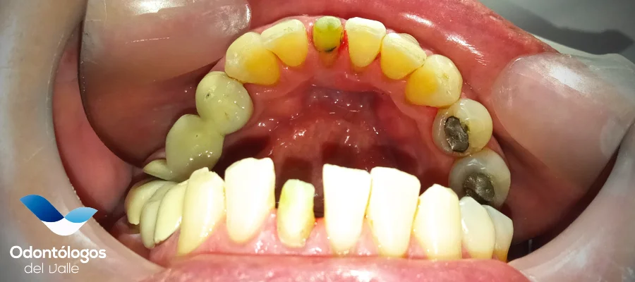
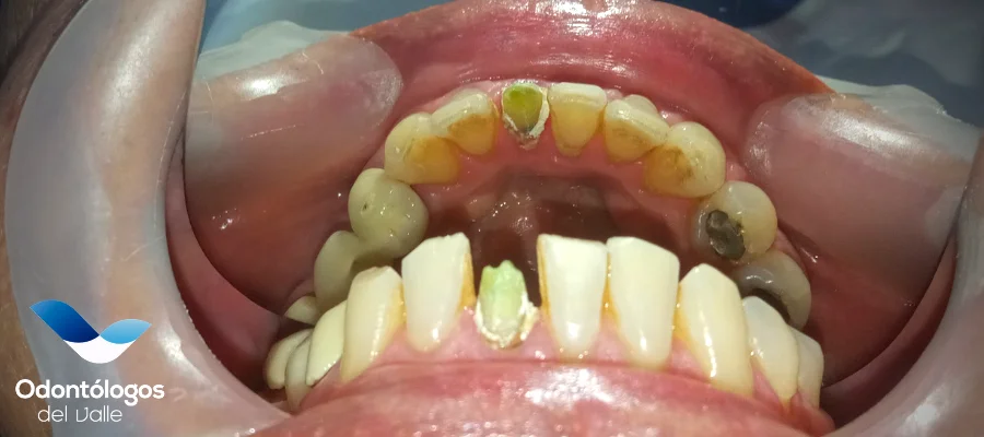
Cero Placa. Cero Sarro. Cero Cálculo
Eliminamos el cálculo dental y la placa bacteriana que el cepillo no alcanza. Con una limpieza profunda ultrasónica, detienes a tiempo el sangrado de encías y previenes enfermedades graves como la periodontitis. Es la base de una salud oral impecable.
Elimina Manchas Superficiales
Recupera el brillo natural de tus dientes. Utilizamos tecnología de ULTRASONIDO para borrar esas molestas manchas superficiales causadas por el café, el té o el tabaco. Saldrás del consultorio con una sensación de frescura y dientes visiblemente más limpios.
La Mejor Inversión Preventiva
Evita el dolor y los altos costos de urgencias futuras. Una limpieza es una inversión mínima comparada con una endodoncia o extracción. Es la decisión más inteligente para proteger tu bolsillo y tu salud.

Quiero un cita hoy SáBADO
Reservar por WhatsApp para hoy, SáBADO




